
Da un po’ di tempo, direi da alcuni mesi, impazzano sulla Rai annunci pubblicitari sulla lotta alla parodontite. Apparentemente si tratta di inserzioni diverse, di differenti laboratori medici concorrenti. La frequenza con cui passano alla radio è quantomeno sospetta, o forse con l’età divento più sensibile alle questioni sanitarie.
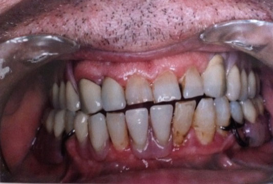
Per farmi un’idea, ho fatto una breve ricerca. E ho trovato un post di RaiNews del maggio scorso secondo cui la parodontite (un’infiammazione dei tessuti attorno ai denti che può portare anche alla perdita di essi) colpisce in Italia 20 milioni di persone con più di 35 anni. Otto milioni di queste potrebbero soffrire di un’infiammazione grave, e tre milioni potrebbero perdere i denti.
La fonte dei dati, nel post, non è chiara (anche altri siti hanno più o meno informazioni simili, scritte in modo da far pensare a un comunicato stampa). Ma si cita la Società italiana di parodontologia, che ha anche avviato una campagna di sensibilizzazione con il sostegno del Ministero della Salute.
Poi però mi è venuto in mente che la paradontite la conosco, eccome. Volgarmente si chiama piorrea, e ricordo che almeno una mia zia ne soffriva. Quand’ero bambino, ne sentivo parlare come di un disturbo horror, perché provocava la caduta dei denti e il sanguinamento delle gengive. E mi immaginavo le bocche sanguinanti delle povere vittime, costrette al silenzio o a coprirle per non spaventare i vicini.